1️⃣ 임플란트란 무엇인가 — 자연치아를 대체하는 인공치근의 원리와 구조 이해
임플란트(Implant)는 치아가 빠진 부위에 티타늄 재질의 인공 치근(implant fixture) 을 턱뼈에 식립하고, 그 위에 인공치아를 결합하여 자연치아의 기능을 복원하는 치과 보철물이다.
기존의 브릿지나 틀니가 주변 치아에 의존하는 반면, 임플란트는 독립적으로 저작력과 심미성을 회복할 수 있다는 점에서 현대 치과 보철의 표준 치료로 자리잡았다.
임플란트의 기본 구조는 세 부분으로 이루어진다.
- 픽스처(Fixture): 인공 치근 부분으로, 턱뼈 속에 삽입되어 임플란트를 지탱한다. 주로 순수 티타늄 또는 티타늄 합금으로 제작되며, 골유착(Osteointegration) 을 통해 뼈와 단단히 결합된다.
- 어버트먼트(Abutment): 픽스처와 인공치아(크라운)를 연결하는 중간 부품이다. 교합각도, 잇몸 형태에 따라 맞춤 제작되며, 기능적·심미적 안정성을 결정짓는 핵심 역할을 한다.
- 크라운(Crown): 겉으로 보이는 인공치아 부분으로, 지르코니아·세라믹 등으로 제작되어 자연치아와 유사한 색상과 질감을 구현한다.
이 세 요소가 정밀하게 결합되면, 자연치아에 가까운 저작력과 심미성을 장기간 유지할 수 있다.
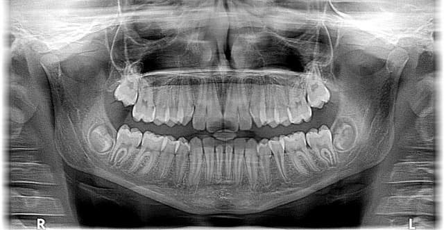
2️⃣ 임플란트 시술 전 검사 단계 — 정확한 진단과 시술 계획 수립이 성공의 핵심
임플란트 시술은 단순히 “인공치아를 심는 것”이 아니라, 정확한 진단과 계획이 필수적인 외과적 치료 과정이다.
시술 전 단계에서는 다음과 같은 정밀 검사가 수행된다.
- 파노라마 엑스레이 및 CT 촬영: 치조골의 두께, 높이, 밀도를 평가하고 신경·혈관의 위치를 확인한다.
- 치주 상태 검사: 잇몸 염증, 치주질환 여부를 파악해 감염 위험을 최소화한다.
- 교합 분석: 상·하악의 물림 관계를 확인하여 인공치아가 자연스럽게 기능할 수 있도록 계획한다.
이 데이터를 기반으로 3D 디지털 플래닝(CAD/CAM·임플란트 가이드 수술) 을 진행하면,
픽스처의 위치·각도·깊이를 정밀하게 설계할 수 있다. 이를 통해 시술 중 신경 손상이나 오차를 최소화하며,
수술 시간 단축과 회복 속도 향상 효과도 얻을 수 있다.
이 단계에서 환자의 전신 건강 상태(당뇨, 골다공증, 고혈압 등)와 흡연 여부도 반드시 평가해야 한다.
이러한 요인이 골유착 속도와 시술 성공률에 직접적인 영향을 미치기 때문이다.
3️⃣ 임플란트 시술 과정 단계별 정리 — 식립부터 보철 완성까지의 전체 절차
임플란트 시술은 일반적으로 다음과 같은 4단계 과정을 거친다.
① 1단계: 인공 치근 식립 수술
국소마취 하에 잇몸을 절개하고, 턱뼈에 임플란트 픽스처를 식립한다. 이때 뼈의 두께가 부족하면 골이식술(GBR) 또는 상악동거상술(Sinus Lift) 이 함께 시행될 수 있다.
② 2단계: 골유착 기간(3~6개월)
식립 후 일정 기간 동안 픽스처가 뼈와 단단히 결합하는 골유착 단계가 필요하다. 이 기간에는 강한 저작을 피하고, 잇몸을 청결하게 유지해야 한다.
③ 3단계: 어버트먼트 연결
골유착이 완료되면 잇몸을 열어 어버트먼트를 체결한다. 이 부품은 크라운을 지탱하며, 잇몸 라인과의 조화를 위해 맞춤형으로 제작된다.
④ 4단계: 크라운 보철물 장착
마지막으로 환자의 치아 색상·형태에 맞춘 인공치아(크라운)를 부착한다.
이 과정에서 교합을 세밀하게 조정하여, 저작 시 편차가 없도록 맞춘다.
최근에는 이 모든 과정을 디지털 장비로 설계·가이드하는 네비게이션 임플란트 수술이 도입되어
정확성과 안정성이 더욱 향상되었다.
4️⃣ 임플란트 시술 후 관리 및 유지 — 골유착 유지와 장기 내구성을 위한 생활 습관
임플란트는 시술 이후의 관리 습관이 수명을 결정한다. 일반적으로 잘 관리하면 10~20년 이상 사용할 수 있지만, 구강 위생이 불량하면 임플란트 주위염(peri-implantitis)이 발생해 재시술이 필요할 수도 있다.
장기적인 유지관리 방법은 다음과 같다.
- 전용 칫솔과 치실 사용: 임플란트 주변은 음식물이 잘 끼기 때문에, 치간칫솔과 워터픽을 병행한다.
- 정기적인 치과 검진: 6개월~1년 주기로 보철물의 이탈 여부, 잇몸 염증, 교합 상태를 점검한다.
- 금연과 구강건조 예방: 흡연은 혈류를 저하시켜 골유착을 방해하므로 반드시 금연해야 한다.
- 딱딱한 음식 피하기: 견과류나 얼음 등 강한 충격은 보철물 파손의 원인이 된다.
또한 당뇨나 잇몸질환이 있는 환자는 치주 관리가 필수다. 임플란트 주위 조직은 자연치아보다 방어력이 약하기 때문에,
염증이 발생하면 진행 속도가 빠르다.
결국 임플란트의 성공은 정밀한 수술 + 꾸준한 관리 + 환자 협조의 조화로 완성된다고 할 수 있다.
🩺 면책 조항 (Disclaimer)
본 글은 임플란트 구조 및 시술 과정에 대한 일반 정보 제공을 목적으로 작성되었습니다.
의료 진단이나 개인 치료를 대체하지 않으며, 정확한 시술 여부와 방법은 반드시 치과 전문의와의 상담을 통해 결정하시기 바랍니다.
'치과보철' 카테고리의 다른 글
🦷 치아가 빠졌을 때 방치하면 생기는 문제 — 구강 건강을 위협하는 4가지 변화 (0) | 2025.10.10 |
---|---|
🦷 세라믹 크라운 vs 지르코니아 크라운 비교 — 어떤 보철물이 더 좋을까? (0) | 2025.10.10 |
🦷 치과 크라운(씌우기)의 종류와 선택 가이드 (0) | 2025.10.10 |
🦷 임플란트 vs 브릿지 vs 틀니 — 어떤 보철물이 좋을까? (0) | 2025.10.10 |
🦷 치과 보철물이란? 종류와 역할 총정리 (3) | 2025.10.09 |